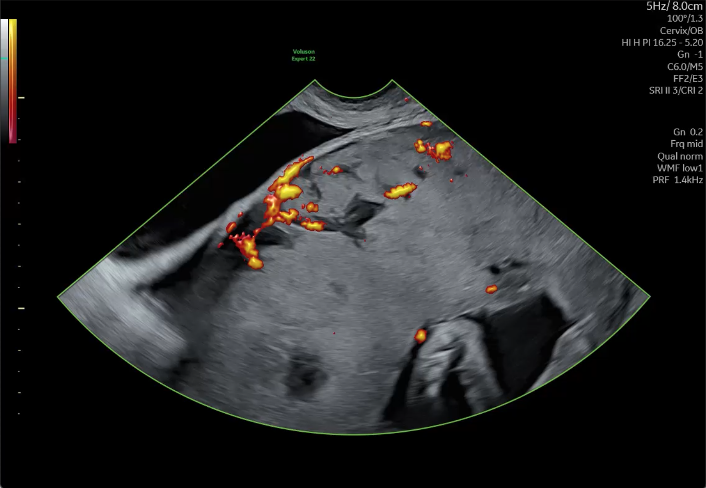
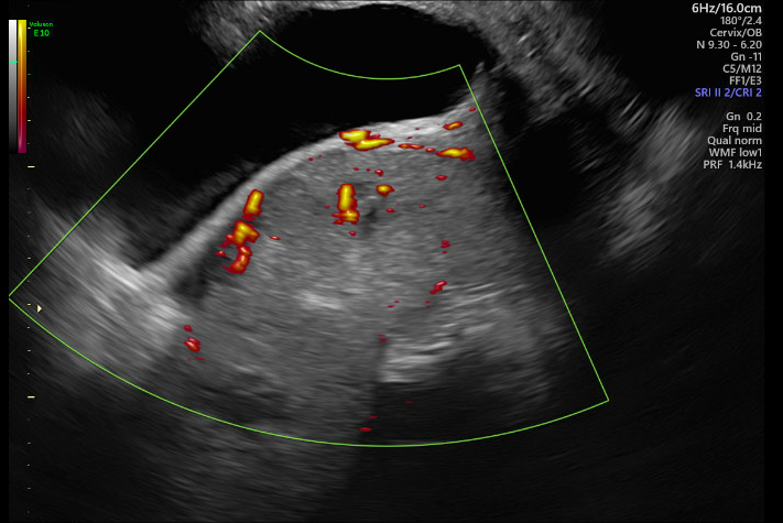
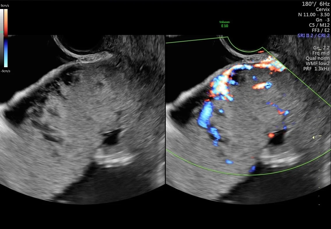
Potential Placenta Accreta

A placenta previa paired with suspected accreta was identified and tracked throughout this pregnancy. With a previous history of two cesarean sections along with a suspected accreta and previa, a third cesarean was scheduled for 34 weeks. The delivery plan would also involve an immediate hysterectomy given these indications. 

When the patient delivered, everyone was surprised to discover no accreta, although placenta previa was still present. The patient and baby were both healthy, and the hysterectomy was not performed. 

More learning resources

Blog

Our blog covers career advice, industry topics, professional development, and more!

Newsletter

Our monthly newsletter brings you industry news, updates, and all things sonography.